Son chien ayant pris du poids, elle réduit ses rations avant de se rendre compte qu'il était en fait malade
Persuadée que Marty le Golden Retriever devenait un peu trop gourmand, sa propriétaire a décidé de le mettre au régime en constatant qu’il avait pris un kilogramme. Ce poids correspondait toutefois à autre chose que de la graisse.
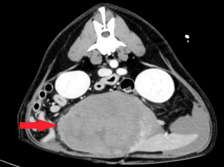
La maîtresse d’un chien sénior qu’elle croyait en surpoids a appris qu’il était en fait atteint d’une tumeur aussi grosse qu’un ballon de football, rapportait le Mirror.
Marty, qui fêtera bientôt ses 12 ans, avait pris un kilogramme. Sa propriétaire Jane Gallacher, qui habite Stirling en Ecosse, pensait qu’il était devenu un peu trop glouton et a alors décidé de réduire ses portions alimentaires.

Veterinary Specialists Scotland / SWNS
Chez le vétérinaire, toutefois, le diagnostic était tout autre ; le Golden Retriever avait une grosse tumeur à la rate. Le praticien a orienté Jane Gallacher vers l’équipe de la clinique vétérinaire VSS (Veterinary Specialists Scotland) à West Lothian.

Veterinary Specialists Scotland / SWNS
La spécialiste Joanna McCagherty a donc pris le relais. Elle a expliqué à Jane Gallacher que Marty devait être opéré et que l’intervention serait particulièrement complexe et risquée. Le quadrupède pouvait y laisser la vie.
Pendant l’opération, la rate s’est rompue à cause de la taille de la tumeur, mais le saignement n’était pas important et le chien y a survécu.
« Ils ont sauvé notre Marty »
Marty a pu quitter la clinique vétérinaire et poursuivre sa convalescence à la maison. 10 jours plus tard, Joanna McCagherty a appelé Jane Gallacher pour lui annoncer que la biopsie faite sur la tumeur avait révélé qu’elle n’était pas cancéreuse. Le chien était totalement guéri.
Délesté du kilogramme que sa maîtresse croyait dû à sa gourmandise, Marty a retrouvé le cours normal de sa vie et repris ses habitudes auprès des siens.

Veterinary Specialists Scotland / SWNS
« Nous serons toujours reconnaissants pour le dévouement et les compétences incroyables de Joanna, ainsi que pour les efforts de l'équipe VSS qui ont sauvé notre Marty », confiait Jane Gallacher au Mirror.
Par Alexandre Dieu
Rédacteur en chef
Diplômé d’un Master Métiers de la rédaction, Alexandre est un amoureux des chiens depuis son plus jeune âge. Après avoir grandi avec de nombreux chiens, cet adorateur des Beaucerons vous déniche chaque jour les actualités qui vont vous émouvoir et vous informer sur nos compagnons préférés.