Une femme trouve son chat en pleurs dans son jardin, et découvre qu’il a été percuté par une voiture
Quand cette femme a entendu son chat crier dans le jardin, elle ne se doutait pas de ce qu’il venait de vivre.
Tracy Mansell est la propriétaire d’un félin de 8 ans prénommé Billy. Un jour, Tracy a entendu Billy pleurer de douleur dans le jardin et l'a vu marcher difficilement. Elle s’est approchée, mais le chat ne l’a pas laissée le toucher. Seul le mari de Tracy est parvenu à attraper Billy, qui était moins hostile envers lui.
La famille de Billy a contacté des vétérinaires de garde
Billy était en grande souffrance. D’une manière ou d’une autre, il avait été blessé et s’était ensuite trainé douloureusement jusqu’à chez lui pour obtenir de l’aide. “C'était absolument déchirant de le voir dans cet état, j'étais très inquiète”, a confié Tracy, dans des paroles rapportées par Express & Star. “Je savais que Billy avait besoin de voir un vétérinaire de toute urgence, alors j'ai appelé PDSA et l'équipe m'a dirigée vers le service de garde de l'organisme de bienfaisance à Oldbury”.
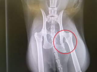
Selon le vétérinaire, Billy avait été percuté par un véhicule
Heureusement, Billy a pu être rapidement pris en charge par les docteurs. Des antidouleurs lui ont été administrés, puis il a reçu une anesthésie générale afin de subir une radiographie.
Les résultats ont révélé une fracture du bassin, en plus d’une plaie importante au niveau de la patte.

“Les blessures de Billy correspondaient à un accident de la route” a expliqué le vétérinaire. “Il avait besoin de soulagement de la douleur et de soins 24 heures sur 24, il a donc été hospitalisé pendant trois autres nuits”.
Par ailleurs, les blessures de Billy l’empêchaient d’uriner correctement. Le docteur souhaitait que cela soit également rétabli au moment où le félin rentrerait chez lui.
Grâce aux bons traitements vétérinaires, Billy a ensuite pu rejoindre sa famille, avec une consigne de repos strict durant 3 semaines. Tracy était très soulagée de le retrouver, et reconnaissante envers l’équipe médicale. “Quand il était absent, c'était comme si une partie de la famille avait disparu”, a-t-elle confié.
Par Wendy Lonis
Rédactrice Web
Ingénieur agronome de formation, Wendy allie ses passions pour les mots et les animaux en écrivant pour Pets-dating. Rédactrice web indépendante, elle partage sa maison avec de nombreux amis à poils ou à plumes : un berger australien, des poules et même des pigeons voyageurs !